Pacientes
Pacientes
Portal pacientes
Pedí un turno
Buscá un profesional
Buscá una especialidad
Buscá un estudio
Buscá un análisis
El Panal, blog de salud
Charlas a la comunidad
¿Vivís fuera de Rosario?
Contáctate con nosotros
Profesionales
Profesionales
Portal profesionales
Eventos médicos
Investigaciones biomédicas
Oferta académica
Nuestras Sedes
Instituto Gamma
Hospital Privado de Rosario
Terapia Radiante Cumbres
Gammalab
El Bosque
Las Vertientes
Medicina Reproductiva
Financiadores
Personal
Nosotros
Quiénes somos
Líderes
Departamentos y servicios médicos
Unidades asistenciales
Calidad y seguridad
Docencia e investigación
Novedades institucionales
Sala de prensa
Portal Pacientes
Baronti, Carolina
Artículos
Grupo Gamma
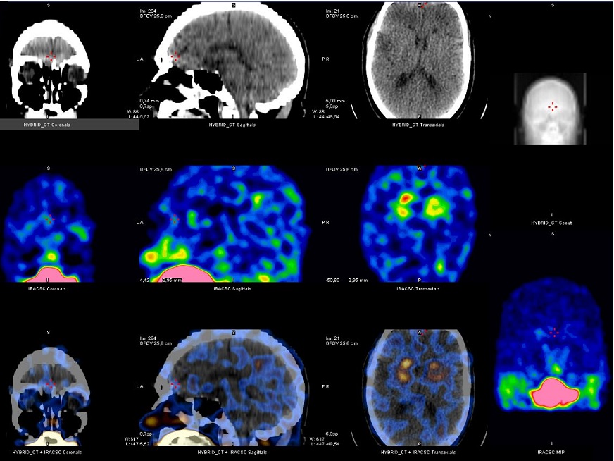
SPECT Cerebral con TRODAT: avance en diagnóstico precoz del Parkinson
Leer más
Neurociencias
Aplicaciones del PET en el estudio de las demencias
Leer más
Neurociencias
Rol del PET-CT en pacientes con Ataxia Cerebelosa
Leer más
Newsletter
Recibí las últimas novedades de salud.
Suscribirme